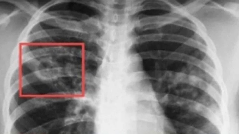
site.btaЗа трети път през тази година в Пазарджик се организират безплатни прегледи за туберкулоза


Безплатни прегледи за туберкулоза се организират в Пазарджик от 9 до 13 декември, съобщиха от Регионалната здравна инспекция.
Специализираната болница за активно лечение на пневмо-фтизиатрични заболявания (СБАЛПФЗ) "Д-р Никола Пенчев" обявява "Седмица на отворените врати“ Скрининговите прегледи за туберкулоза ще се провеждат 8:00 ч. до 12: 00 часа в лечебното заведение.
Кампанията се осъществява по Националната програма за превенция и контрол на туберкулозата в България за периода 2021 – 2025 г.
Безплатни прегледи бяха проведени през месеците март и юни.
Данните на РЗИ показват, че през 2023 г. в област Пазарджик регистрирани 13 нови случая на туберкулоза, а заболеваемостта е 5,7 на 100 000 население. До края на юни т.г. заболелите са седем.
/ЛРМ/
Потвърждение
Моля потвърдете купуването на избраната новина