site.btaБезплатни профилактични прегледи за риск от туберкулоза ще се извършват тази седмица в Пазарджик


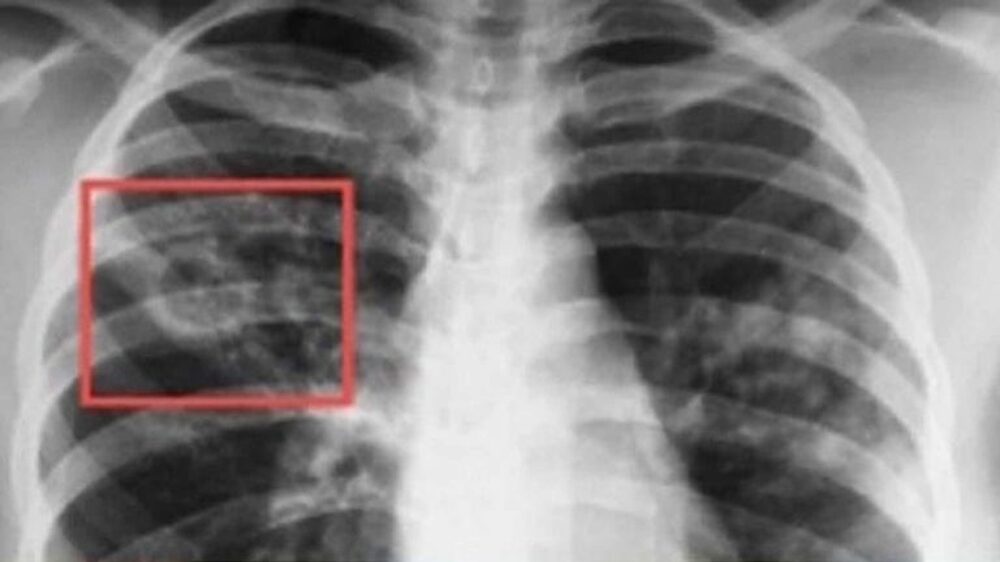
Безплатни профилактични прегледи за риск от туберкулоза ще извършват от днес, 15 септември, до петък в "Специализирана болница за активно лечение на пневмо-фтизиатрични заболявания – д-р Н. Пенчев“ - Пазарджик, съобщиха от местната администрация.
Кампанията е част от изпълнението на Националната програма за превенция и контрол на туберкулозата в Република България за периода 2021 – 2025 г. По време на „Седмицата на отворените врати“ всеки желаещ ще може да премине скрининг за риск от туберкулоза чрез анкета и медицинска консултация. При установяване на риск, ще бъдат извършени допълнителни прегледи и изследвания.
През юни в същата болница бе проведена Седмица на отворените врати, в която пациентите имаха безплатен достъп до скринингови прегледи за туберкулоза.
.
/РИ/
Потвърждение
Моля потвърдете купуването на избраната новина