Перник - болница - внедряване на изкуствен интелект
Перник - болница - внедряване на изкуствен интелект
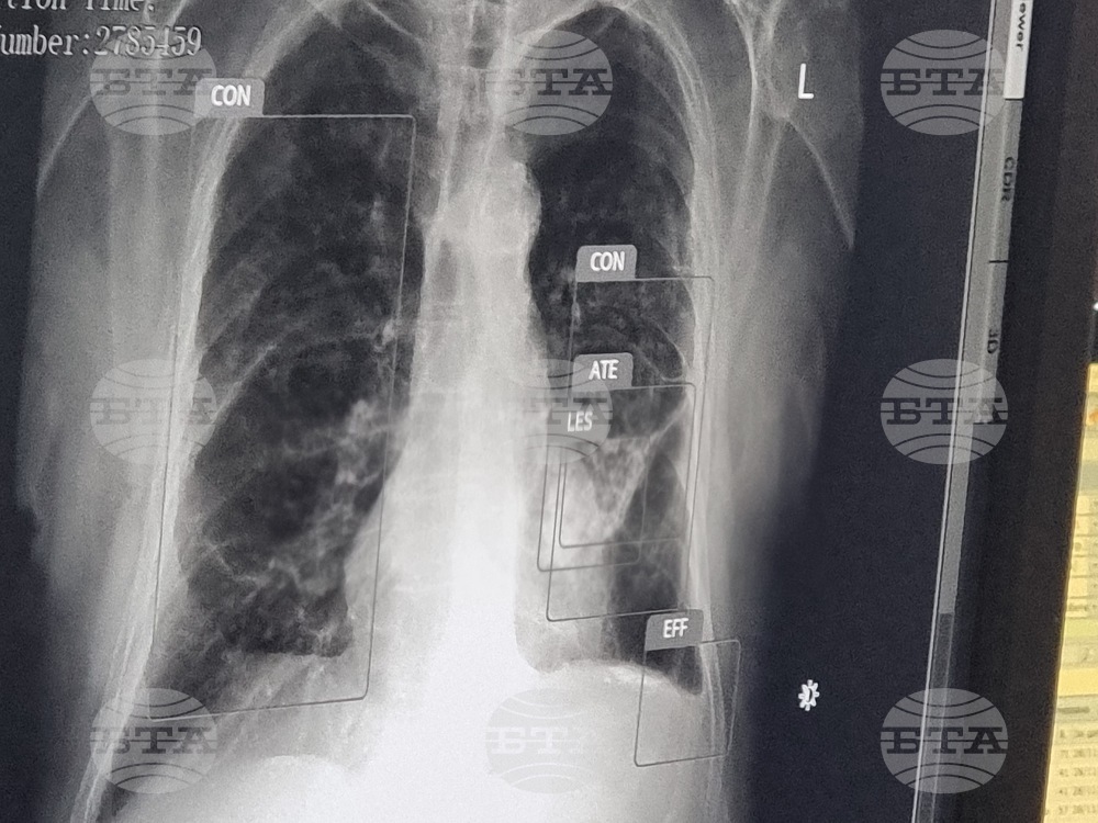
Перник (28 ноември 2025) В отделението по образна диагностика на Многопрофилна болница за активно лечение (МБАЛ) „Рахила Ангелова“ в Перник бе внедрен изкуствен интелект (AI), съобщи пред директорът на болницата Явор Дренски (на снимката). Инсталирането на софтуера приключи вчера, а през следващия месец предстои безплатна скринингова кампания за всички жители на областта.
Снимка: кореспондент на БТА в Перник Милен Миланов (КН)
Абонирайте се
Влезте във Вашата БТА
Снимка: кореспондент на БТА в Перник Милен Миланов (КН)
Перник - болница - внедряване на изкуствен интелект
Перник (28 ноември 2025) В отделението по образна диагностика на Многопрофилна болница за активно лечение (МБАЛ) „Рахила Ангелова“ (МБАЛ) в Перник бе внедрен изкуствен интелект (AI), съобщи пред директорът на болницата. Инсталирането на софтуера приключи вчера, а през следващия месец предстои безплатна скринингова кампания за всички жители на областта.
Снимка: кореспондент на БТА в Перник Милен Миланов (КН)
Абонирайте се
Влезте във Вашата БТА
Снимка: кореспондент на БТА в Перник Милен Миланов (КН)
Перник - болница - внедряване на изкуствен интелект
Перник (28 ноември 2025) В отделението по образна диагностика на Многопрофилна болница за активно лечение (МБАЛ) „Рахила Ангелова“ в Перник бе внедрен изкуствен интелект (AI), съобщи пред директорът на болницата. Инсталирането на софтуера приключи вчера, а през следващия месец предстои безплатна скринингова кампания за всички жители на областта.
Снимка: кореспондент на БТА в Перник Милен Миланов (КН)
Абонирайте се
Влезте във Вашата БТА
Снимка: кореспондент на БТА в Перник Милен Миланов (КН)
Перник - болница - внедряване на изкуствен интелект
Перник (28 ноември 2025) В отделението по образна диагностика на Многопрофилна болница за активно лечение (МБАЛ) „Рахила Ангелова“ в Перник бе внедрен изкуствен интелект (AI), съобщи пред директорът на болницата. Инсталирането на софтуера приключи вчера, а през следващия месец предстои безплатна скринингова кампания за всички жители на областта.
Снимка: кореспондент на БТА в Перник Милен Миланов (КН)
Абонирайте се
Влезте във Вашата БТА
Снимка: кореспондент на БТА в Перник Милен Миланов (КН)
Перник - болница - внедряване на изкуствен интелект
Перник (28 ноември 2025) В отделението по образна диагностика на Многопрофилна болница за активно лечение (МБАЛ) „Рахила Ангелова“ в Перник бе внедрен изкуствен интелект (AI), съобщи пред директорът на болницата. Инсталирането на софтуера приключи вчера, а през следващия месец предстои безплатна скринингова кампания за всички жители на областта.
Снимка: кореспондент на БТА в Перник Милен Миланов (КН)
Абонирайте се
Влезте във Вашата БТА
Снимка: кореспондент на БТА в Перник Милен Миланов (КН)
Избиране на снимки
Моля потвърдете избраните снимки. Това действие не е свързано с плащане. Ако продължите, избраните снимки ще бъдат извадени от баланса на вашите активни абонаментни пакети.
Изтегляне на снимка
Моля потвърдете изтеглянето на снимката/ите